When Chelsea and her husband brought home their cat Hari, they thought they were simply giving a shelter cat a second chance.
What they didn’t know was that eight years later, a trip to the vet would uncover a heartbreaking secret buried deep within her tiny frame.
Hari, now around ten years old, was adopted from an animal shelter in Denver, Colorado, back in 2017 by Chelsea’s husband.
At the time, not much was known about her past.
She was small, skinny, and shy, the kind of cat who seemed relieved just to have a warm place to sleep.
“She was just this sweet, quiet little cat,” Chelsea recalled.

“My husband adopted her before we met, and we always thought she had just had a rough start, like many shelter cats do.”
Years later, Hari had settled into her new life with two younger feline siblings.
She loved lounging in the sun, cuddling in heated beds, and occasionally bossing around the other cats. But recently, Chelsea began to notice something worrying.
“Hari started limping up the stairs when we’d call her for dinner,” Chelsea said.
“It was mostly her front right leg, and she just seemed slower. We figured she might have sprained it or it was just her age catching up with her.”
Since Hari was now a senior cat, stiffness and slower movements didn’t seem too unusual. But after a week of pain medication, nothing had improved.
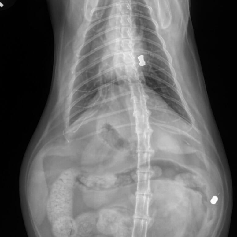
Chelsea decided it was time for an X-ray and that’s when things took a shocking turn.
“The vets thought maybe a bone spur had formed or a small piece of bone had broken off,” Chelsea explained.

“But they wanted to do more imaging just to be sure. That’s when they found two BB gun pellets, one lodged in her back leg and another in her chest.”
It was a discovery no pet owner ever expects to hear. Hari’s limp, it turned out, was linked to an old fracture that had healed incorrectly.
The scans also revealed several other fractures in her back legs, all injuries that had occurred long before her adoption.
“The CT scan showed that her right front leg is actually shorter than the left because of that old fracture,” Chelsea said. “When they asked if we knew about her past, I just started crying. I had no idea.”
Chelsea remembers the drive home as one of the hardest moments she’s ever had with her pet. “I cried all the way home,” she said.
“I couldn’t believe someone had hurt her. She’s the gentlest, sweetest cat. I don’t know how anyone could do something like that.”
Veterinarians believe the injuries were caused by someone shooting Hari with a BB gun when she was less than two years old.
Somehow, she survived, living through unimaginable pain before eventually ending up in a shelter.

Today, Hari is being cared for with all the love and comfort she deserves.
She’s on medication to ease the pain in her knees and spine, and her family has made adjustments at home to make life easier for her.
“We got her a heated bed, a sunny catio, and some little steps so she can climb onto furniture without straining,” Chelsea said.
Despite her injuries, Hari’s spirit hasn’t dimmed one bit. Chelsea describes her as playful, stubborn, and full of life.
“She still manages to boss around our younger cats,” she laughed. “And when my husband’s working from home, she insists on sitting right next to him or on his keyboard.”
After learning the truth, Chelsea shared Hari’s story online under the username u/Gogomagickitten.
Hoping to raise awareness about the cruelty animals can face before rescue.
The post quickly gained attention, with thousands of people expressing heartbreak and admiration for Hari’s resilience.
One commenter summed up what everyone was thinking: “She’s not just a survivor, she’s a little warrior.”

Hari’s story is both painful and inspiring.
It’s a reminder that rescue animals often come with invisible scars, and that even years later, their past can reveal itself in unexpected ways.
For Chelsea, the discovery only deepened her bond with Hari.
“She’s been through so much, but she still loves people,” Chelsea said softly.
“She trusts us completely. After everything that happened to her, that’s the most incredible thing of all.”
Today, Hari continues to thrive, lounging in warm sunlight, purring on soft blankets, and living proof that love really can heal even the deepest wounds.
