When a British Blue cat named Benito was rushed into a veterinary clinic, staff could immediately tell something wasn’t right.
The one-year-old cat was trembling, unable to stand properly, and flinched whenever someone reached near his face.
What the vets discovered next would uncover a heartbreaking story of cruelty and an incredible journey toward recovery.
Between March and September 2023, Benito’s medical records painted a grim picture.

He had arrived at the clinic several times, each visit revealing a new and unexplained injury.
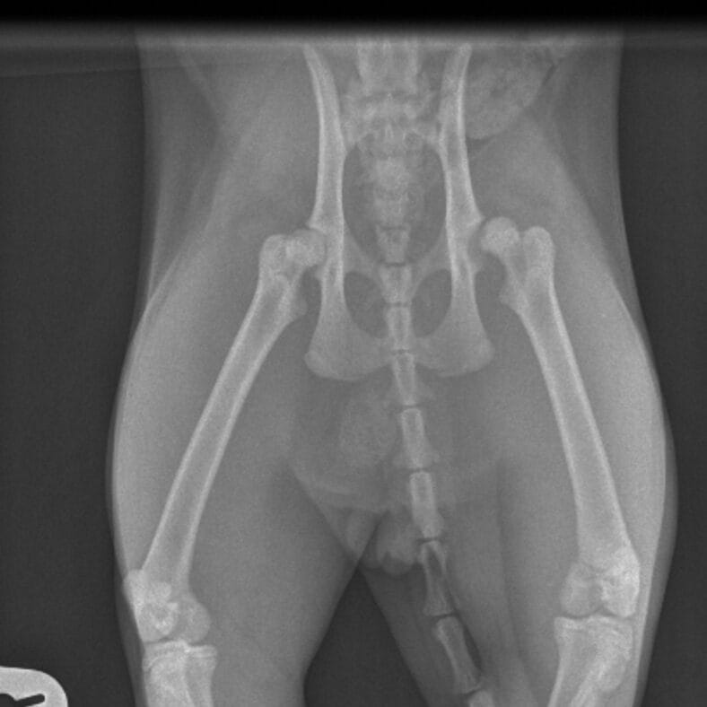
A fractured femur. A broken leg. A chest injury. A limp tail. A pelvic fracture.
Every incident was treated separately, but taken together, they raised alarming questions.
For months, vets tried to help him heal, but in November that year, Benito’s condition suddenly worsened.
His owner brought him in again, saying he had grown weak and could barely walk.
The cat’s once-bright spirit was gone, he was subdued, trembling, and meowing in pain with every step.
Then came the devastating discovery.
After a full examination, the veterinary team found that Benito’s spine had been fractured.
That was the moment their concern turned to certainty: these injuries couldn’t have been accidents.
The vets immediately contacted the Royal Society for the Prevention of Cruelty to Animals (RSPCA), the U.K.’s largest animal welfare charity.

An investigation was launched to uncover what had really been happening to the little cat.
“It is saddening to see the history of Benito and all the injuries he sustained in such a short period of time,” said Inspector Vicki Taylor. “He was clearly being hurt regularly by his owner.”
Authorities removed Benito from the home that same week and placed him in the care of the RSPCA’s Newbrook Animal Hospital in Birmingham.
When he arrived, he was in a fragile state, barely moving, needing support to eat, and too weak to stand on his own.
The staff began an intensive recovery plan. For a month, Benito received pain medication every eight hours, antibiotics for infection, and round-the-clock care.
Because he couldn’t move without discomfort, the team carefully turned him every six hours, fed him while he lay on his chest, and gently helped him go to the toilet.
Despite everything, Benito didn’t give up.
After six long weeks of cage rest and physiotherapy, he began to show signs of life again, tiny movements that brought huge smiles to the staff caring for him.

When he finally started trying to stand, it felt like a small miracle.
Once stable enough, Benito was placed with a foster family.
That’s where he met 54-year-old Sugra Sabri and her daughter, Razeenah. The pair had prepared a quiet space for him to settle in, but Benito wasn’t ready to trust anyone yet.
“We had a separate room ready for him so he could get used to his own space,” Sugra said.
“But the moment he got out of the carrier, he ran straight into a corner and hid. He didn’t eat, he didn’t move, he just stayed there.”
It took nearly a week for Benito to gather the courage to explore the room.
Gradually, he began venturing out, sniffing around the kitchen and peeking at the humans from a safe distance.
It wasn’t until five months later that he started sitting by the window to watch birds, something most cats would do instinctively.

Now, life for Benito or “Benny,” as his new family affectionately calls him, looks very different.
He has the full run of the house, loves company, and often sprawls on the floor with his paws in the air when he wants affection.
“He’s lovely,” Sugra said. “He’s very gentle and never scratches.
He’s not a lap cat, probably because he wasn’t shown that kind of love when he was little, but he likes sitting beside us. If we’re in the room, he wants to be there too.”
As Benito healed physically, his personality began to bloom.
He still startles easily at loud noises or sudden movements, but he no longer hides when visitors arrive.
“Now he just lounges around like a small cuddly bear,” Sugra laughed. “Everyone who meets him falls in love.”
It didn’t take long for Sugra and her daughter to realize that fostering him wasn’t enough, they wanted him to stay forever.

“I originally thought I’d foster different cats, but Benny was so sweet and gentle that I couldn’t imagine letting him go,” she said.
The bond between Benito and Razeenah has only grown stronger.
When Benito turned two, the family threw a joint birthday celebration for him and Razeenah. “She insisted they share the day,” Sugra said with a smile.
“He’s part of the family now, completely.”
After everything he’s been through, Benito’s story is one of resilience, kindness, and second chances.
He may never forget his past, but surrounded by warmth and love, he’s finally safe and thriving.
